ROCKY MOUNTAIN SPOTTED FEVER
Rickettsiae are strict intracellular bacteria requiring a host cell to replicate. Within the genus Rickettsia, three groups are differentiated, one of which is the spotted fever group (SFG), of which members are associated mainly with ticks, but also with fleas and mites (Raoult and Roux, 1997). Within the SFG, Rickettsia rickettsii is the pathogenic agent of Rocky Mountain spotted fever (RMSF), a potentially fatal rickettsial disease of dogs and humans. The pathogen has been reported throughout the USA, Central and South America, and is transmitted by ticks of the Dermacentor, Rhipicephalus and Amblyomma genera, respectively.
Pathogens
Epidemiology
Transmission
Pathogenesis
Diagnosis
Clinical Signs
Treatment and Prevention
References
Further Reading
PATHOGENS
The genus Rickettsia is included in the bacterial tribe Rickettsiae, order Rickettsiales, family Rickettsiaceae. It comprises many species of bacteria associated with important and severe human or animal disease, including those in the spotted fever group (SFG), which currently recognises more than 20 valid species.
Rickettsia rickettsii is a very small, gram-negative, rod-shaped bacterium that obligatory lives inside the cells of its hosts, ranging in size from 0.2 x 0.5 µm to 0.3 x 2.0 µm. The pathogen disseminates to infect the endothelium of the microcirculation and is difficult to detect in tissues by using routine histologic staining, generally requiring the use of special staining methods (i.e., Giemsa, Gimenez, or immunohistochemical) (Greene and Breitschwerdt, 1998; Paddock et al., 1999).
The clinical illness of what is called now Rocky Mountain spotted fever (RMSF) was first described in Montana and Idaho during the late 1890s (Maxey, 1899; Wood, 1896). The causative organism, R. rickettsii, was isolated and characterized between 1906 and 1910 by Howard T. Ricketts, also demonstrating that it circulated among ticks and mammals in the wild and that it could be transmitted transovarially by ticks to their offspring (Ricketts, 1906, 1908, 1909; Ricketts and Gomez, 1908).

Transmission electron microscopic image of Rickettsia ricketsii, showing rod-like appearance and a trilaminar wall, with a measurement bar of 0.16 µm length.
In respect to dogs, early reports indicated that dogs are susceptible to RMSF and could be infected and become rickettsaemic (Badger, 1933; Shepard and Topping, 1946), but more detailed work on dogs only started in the late 1970s (e.g., Kennan et al., 1977a, 1977b; Lissman and Benach, 1980).
Other SFG rickettsiae are also known for causing diseases of animals and humans around the world. Belonging into the same group of rickettsiae, Rickettsia conorii, the agent of Boutonneuse or Mediterranean spotted fever (MSF) in humans is occurring in Southern Europe, the Middle East and Southern Africa. This pathogen is rarely detected in dogs and has not been reported with clinical signs in dogs so far.

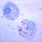
Light microscopic image of a Gimenez stain of tick haemolymph cells infected with Rickettsia rickettsii.
EXPLORE OUR CONTENT
![]() CVBD MapsThe CVBD Occurence World Map presents country-specific situations based on current scientific knowledge and feed-back from experts around the world in an easy-to-grasped way. |
| Read more-> |
![]() ResourcesElanco Animal Health supports education in parasitology and especially in the field of vector-borne diseases. Access image collections, discover the World Forum calendar, interesting links and our glossary. |
| Read more-> |
![]() CVBD World ForumThe CVBD World Forum is a working group of leading international experts with the mission to enhance knowledge and communication on companion animal vector-borne diseases for the improvement of animal, human, and environmental health. |
| Read more-> |



