Home -> Resources -> Image Resources
IMAGE RESOURCES
Parasitology is our Passion
Elanco Animal Health supports education in parasitology and especially in the field of vector-borne diseases by providing this image collection.
Images may be used for educational purposes only.
Any other use including publication, reproduction, electronic dissemination, social media or alike is not permitted without explicit written permission.
To download images click onto 'Download', then right-click and safe image as.
TICKS
FLEAS
SAND FLIES
MOSQUITOES
OTHER VECTORS
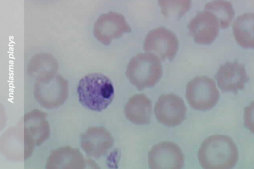
DISEASE PATHOGENS – BACTERIA
DISEASE PATHOGENS – PROTOZOA
DISEASE PATHOGENS – HELMINTHS
LIFE CYCLES
EXPLORE OUR CONTENT
![]() CVBD MapsThe CVBD Occurence World Map presents country-specific situations based on current scientific knowledge and feed-back from experts around the world in an easy-to-grasped way. |
| Read more-> |
![]() ResourcesElanco Animal Health supports education in parasitology and especially in the field of vector-borne diseases. Access image collections, discover the World Forum calendar, interesting links and our glossary. |
| Read more-> |
![]() CVBD World ForumThe CVBD World Forum is a working group of leading international experts with the mission to enhance knowledge and communication on companion animal vector-borne diseases for the improvement of animal, human, and environmental health. |
| Read more-> |







































































