Home -> Diseases -> Flea-Borne Diseases
DISEASES
Select a Disease
FLEA-BORNE DISEASES

The presence and blood-feeding of fleas often results in allergic reactions (flea-related dermatitis, flea allergic dermatitis [FAD]) and can cause substantial blood loss, which may lead to anaemia in severe cases. Iron deficiency anaemia due to heavy infestations can be a particular problem in young animals.
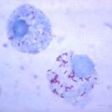
Besides the direct effects of flea feeding, fleas are known to be transmitters of tapeworms as well as bacterial and viral pathogens to both animals and humans.
LOOKING FOR VECTORS?
You are looking for a specific vector, occuring in companion animals and capable of transmitting important companion vector-borne diseases (CVBD)?
Click hereEXPLORE OUR CONTENT
![]() CVBD MapsThe CVBD Occurence World Map presents country-specific situations based on current scientific knowledge and feed-back from experts around the world in an easy-to-grasped way. |
| Read more-> |
![]() ResourcesElanco Animal Health supports education in parasitology and especially in the field of vector-borne diseases. Access image collections, discover the World Forum calendar, interesting links and our glossary. |
| Read more-> |
![]() CVBD World ForumThe CVBD World Forum is a working group of leading international experts with the mission to enhance knowledge and communication on companion animal vector-borne diseases for the improvement of animal, human, and environmental health. |
| Read more-> |













