Home -> Diseases -> Tick-Borne Diseases -> Ehrlichiosis
EHRLICHIOSIS
Ehrlichiosis is caused by several bacterial species of the genus Ehrlichia. Ticks like the Brown Dog tick (Rhipicephalus sanguineus), the Lone Star tick (Amblyomma americanum) and the American Dog tick (Dermacentor variabilis) are the main transmitters of these pathogens. Although the clinicopathologic course of the disease will vary depending upon the infecting Ehrlichia species, illness is typically characterised by an acute reduction in cellular blood elements, most often thrombocytopenia.
Canine monocytic ehrlichiosis (CME) is caused by Ehrlichia canis and characterised by three clinical phases. The infectious agent is widely distributed in warm climates and causes severe clinical symptoms in infected dogs. The life cycle of E. canis implicates ticks as vectors and mammals as host. Generally all members of the family Canidae can serve as host whereas ticks like the Brown Dog tick and in the USA presumably also the American Dog tick, are the main transmitters of the pathogen.
Historical synonyms for canine ehrlichiosis include canine rickettsiosis, canine typhus, tropical canine pancytopenia, idiopathic haemorrhagic syndrome, canine haemorrhagic fever and tracker dog disease.
In humans, human monocytic ehrlichiosis (HME) is caused by Ehrlichia chaffeensis. The disease possesses zoonotic character. Furthermore Ehrlichia ewingii has also been isolated from a human patient and thus is as well of zoonotic potential. In the USA, the disease occurs primarily in the south-eastern and south-central regions of the country, however due to chronic infection and a prolonged incubation period, infection is frequently documented in dogs that move from endemic to non-endemic regions.
Pathogens
Epidemiology
Transmission
Pathogenesis
Diagnosis
Clinical Signs
Treatment and Prevention
References
Further Reading
PATHOGENS
Ehrlichia spp. are gram-negative, small, obligatory intracellular bacteria that primarily invade leukocytes of animals and humans. They appear as minute, round bacteria (cocci), about 1 µm in diameter. In the leukocytes, ehrlichiae divide by binary fission, developing from elementary to initial bodies to finally form vacuole-bound colonies known as morulae (plural for morula, Latin word for mulberry, referring to the mulberry-like clustering of the dividing organisms). The formation of morulae is a defining characteristic of this group of bacterial pathogens.
The pathogens are transmitted by vectors in which they replicate. In the Ehrlichia canis genogroup, these vectors are generally ticks.

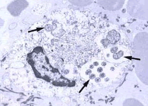
Transmission electron microscopical image of morulae in a bone marrow leukocyte of a human ehrlichiosis patient. Arrows indicate individual ehrlichiae.
Classification
In the order Rickettsiales, the family Anaplasmataceae contains four genera of medical importance: Ehrlichia, Anaplasma, Neorickettsia and Aegyptianella.
The genus Ehrlichia nowadays comprises the species Ehrlichia canis, Ehrlichia chaffeensis, Ehrlichia ewingii, Ehrlichia muris and Ehrlichia (Cowdria) ruminantium. These species are united into the ‘E. canis genogroup’. Members of the Ehrlichia genus are implicated as pathogens of dogs, cats, ruminants, horses and humans.
Ehrlichial agents known to infect dogs and cats
| Species | Common name of disease(s) | Common natural host(s) | Cells most commonly infected | Primary vector(s) | Distribution | Clinical Disease (*Human Disease)a | 
Ehrlichia canis 
  | Canine monocytic ehrlichiosis (CME) | Dogs, wolves, jackals (members of the family Canidae) (humans) | Primarily mononuclear cells (monocytes, macrophages, lymphocytes) | Rhipicephalus sanguineus, (Dermacentor variabilis) | Worldwide, primarily tropical and temperate climates | Dogs: fever, lethargy, thrombocytopenia, anorexia, myalgia, lymphadenopathy, bleeding diatheses Cats: fever, lethargy, anorexia *Identified in Venezuela  | 
| Ehrlichia chaffeensis | Human monocytic ehrlichiosis (HME) | Humans, dogs, deer (horses, rodents) | Monocytes, macrophages, lymphocytes | Amblyomma americanum, Dermacentor variabilis  | USA, Europe, Africa, South and Central America | Dogs: mild/subclinical unless present in co-infection Cats: not reported *Human monocytic ehrlichiosis  | 
| Ehrlichia ewingii | Canine granulocytic ehrlichiosis (CGE) (mild form), human granulocytic ehrlichiosis (HGE) | Dogs (humans) | Primarily neutrophils and eosinophils | Amblyomma americanum, Otobius megnini  | USA | Dogs: fever, polyarthritis, thrombocytopenia, neurologic disease Cats: not reported *Granulocytic ehrlichiosis, uncommon  | 
| Ehrlichia (Cowdria) ruminantium | Heartwater disease | Ruminants | Endothelial cells, moncytes, macrophages, neutrophils | Amblyomma spp. | Africa, Caribbean | Dogs: subclinical/rare Cats: not reported  | 
afrom Allison & Little (2013)
Ehrlichia canis is responsible for the widespread canine monocytic ehrlichiosis (CME) in tropical and temperate areas of the world. The geographical distribution of E. canis has expanded with the distribution of its tick vector, the Brown Dog tick Rhipicephalus sanguineus.
Ehrlichia chaffeensis primarily infects mononuclear leukocytes (predominantly monocytes and macrophages), but may also be seen occasionally in the granulocytes of some patients with severe disease. It is the agent of human monocytic ehrlichiosis (HME). Ehrlichia chaffeensis could be detected by PCR in naturally infected dogs that were sick or healthy at the time of testing.

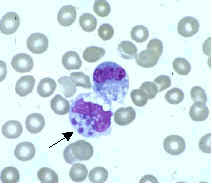
Ehrlichia sp. morulae in the cytoplasm of a monocyte
Ehrlichia ewingii primarily infects neutrophils and occasionally eosinophils and produces a disease clinically similar to HME and HGA (human granulozytic anaplasmosis). Most patients with ehrlichiosis caused by E. ewingii also had other medical conditions causing immunosuppression. In the USA, this pathogen generally causes a milder form of disease in dogs referred to as canine granulocytic ehrlichiosis (CGE). Infection with E. ewingii frequently induces polyarthritis in dogs and occasionally causes neurological disease in dogs and human patients.

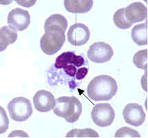
Ehrlichia sp. morula in the cytoplasm of a neutrophil
Ehrlichia (Cowdria) ruminantium is the agent of heartwater disease in ruminants in Africa and the Caribbean. Based upon PCR amplification and DNA sequencing, E. ruminantium has been found in blood samples from dogs and HIV-infected humans in South Africa.
Human pathogenic Ehrlichiae
Recently several Ehrlichia spp. have been recognized as emerging human pathogens. Human monocytic ehrlichiosis (HME) is caused by E. chaffeensis, and E. ewingii, which was previously known as a canine pathogen, has also been recognized as human pathogen. Additionally an asymptomatic infection of a human patient in Venezuela was associated in molecular biological examinations with E. canis. Furthermore an E. ruminantium-like organism was recently found in humans and deer in the southeastern USA. Generally, with the exception of E. muris, all may be human pathogens.
Further pathogenic Anaplasmataceae
Another genus of medical importance of the family Anaplasmataceae is Neorickettsia. Besides a relevant human pathogen species (Neorickettsia sennetsu), the species Neorickettsia risticii and Neorickettsia helminthoeca have been reported to cause clinical signs in dogs, and antibodies have been detected in the sera of dogs and cats among others. In cats the former only caused clinical signs experimentally, while in the latter no feline disease is reported.
EXPLORE OUR CONTENT
![]() CVBD MapsThe CVBD Occurence World Map presents country-specific situations based on current scientific knowledge and feed-back from experts around the world in an easy-to-grasped way.  | 
| Read more-> | 
![]() ResourcesElanco Animal Health supports education in parasitology and especially in the field of vector-borne diseases. Access image collections, discover the World Forum calendar, interesting links and our glossary.  | 
| Read more-> | 
![]() CVBD World ForumThe CVBD World Forum is a working group of leading international experts with the mission to enhance knowledge and communication on companion animal vector-borne diseases for the improvement of animal, human, and environmental health.  | 
| Read more-> | 



